急诊室是生命守护的前沿阵地,深夜更是考验医者担当与专业的关键时刻。当城市沉入梦乡,急诊室的灯光始终明亮,医护人员坚守岗位,与时间赛跑、与死神博弈。近日,凌晨一点,国文医院急诊科就上演了一场惊心动魄的腹内疝急救,值班医生凭借精准判断与高效处置,成功为患者赢得生机,彰显了医者的初心与使命。
患者张大叔(化名)被儿子用担架紧急送往急诊室,已被剧烈腹痛折磨得说不出话,身体蜷缩、双手捂腹,额头上的汗珠不断滚落。“大夫!快救救我爸!”家属满脸焦灼与无助。
刚处理完外伤患者的值班医生,来不及歇口气便快步迎上,一边快速为张大叔测量血压、检查心率,一边快速询问病史。“我爸晚饭后肚子胀,后来疼得越来越厉害,还吐了好几次……”张大叔的儿子声音不停颤抖。

医生按压老张腹部,患者发出痛苦呻吟,但腹部无明显肌紧张。结合血压偏低、心率偏快、脉搏细弱的体征,他眉头拧紧,追问得知患者三年前做过胃癌手术,瞬间警觉到隐蔽性强的腹内疝。
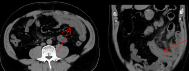
这种疾病疝环位于腹腔内部,体表无法触及,肠管一旦嵌顿,数小时内就可能血供中断,引发肠坏死,而腹部术后孔隙、肠粘连正是主要诱因。医生深知每延误一分钟,患者就多一分危险,当即开具CT检查单,吩咐护士同步建立静脉通路、抽血化验。
看着家属攥着检查单发抖的手,医生轻声安抚:“别慌,交给我。”CT结果确诊腹内疝、小肠嵌顿,高度怀疑肠坏死,当即决定:“马上住院,准备手术!”面对家属的恐慌,急诊医生耐心告知:“情况虽险,但发现及时,需要立刻手术,请相信我们。”护士推着平车将张大叔送往手术室。随着平车远去,急诊医生转身回到诊室,又一位患者被搀扶进来,他随即投入新的坚守。
一场急救落幕,一份坚守延续。窗外夜色深沉,急诊科的灯光依旧明亮。急诊医生用专业驱散病痛,用坚守守护希望,在深夜里与时间赛跑,用一言一行诠释“人民至上、生命至上”的医者担当,为每一个深夜求助的生命,送去温暖与力量。
微信扫码预约

吉公网安备 22038102000293号 吉ICP备18000181号