明明没磕碰,腰腹突然疼到直不起身,恶心呕吐、坐立难安,这种堪比“断骨”的剧痛,很多输尿管结石患者都深有体会。结石卡在尿路里,排不出、消不掉,吃药没用、开刀害怕,成了不少人的难言之隐。
近日,国文医院泌尿外科就接诊了这样一位典型患者,左侧输尿管下段被0.9cm结石堵住,借助体外冲击波碎石技术,全程无创操作,术后轻松排出结石碎屑,不用住院、不留伤口,彻底告别结石带来的煎熬,也让更多结石患者看到了微创治疗的便捷与高效。

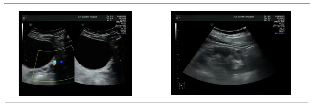
家住附近的李先生(化名),发病时正值午后,左侧腰腹突然传来剧烈绞痛,痛感一路蔓延到小腹,浑身冷汗直流,连路都走不了,甚至出现了尿频、排尿不适的症状。家人紧急送医后,泌尿系彩超明确病因:左侧输尿管下段结石,大小0.9cm,伴有轻微肾积水。
拿到结果的李先生(化名)十分发愁:身边有人结石开刀做手术,恢复期长又遭罪,自己工作繁忙,根本没时间休养;可放任不管,疼痛反复不说,医生告知积水加重会伤肾,进退两难。泌尿外科专家团队仔细评估后,给出了精准方案:患者结石位置、大小完全符合体外冲击波碎石指征,无需开刀手术,无创碎石就能解决问题。
不同于传统手术的创伤性,体外冲击波碎石打破了“结石必开刀”的固有认知。治疗时,李先生(化名)无需麻醉,全程躺卧即可,医生通过超声实时精准定位结石位置,体外冲击波穿透体表,精准作用于坚硬结石,利用物理效应将结石逐层击碎成泥沙状细小颗粒,全程仅30分钟,全程只有轻微酸胀感,完全没有想象中的剧痛。
术后医护人员叮嘱其多喝水、适度散步,短短一天后,李先生(化名)排尿时惊喜发现,尿液里混着大量细碎的泥沙样结石碎屑,随着碎石排出,困扰他的腰腹剧痛瞬间消失,当天就恢复了正常生活。一周后复查,结石完全排净,肾积水也完全缓解,高效的治疗让李先生(化名)连连称赞。
其实,泌尿系结石早已不是“疑难杂症”,但很多人依旧陷入治疗误区:要么强忍疼痛拖延不治,要么盲目担心手术创伤,最终耽误最佳治疗时机。体外冲击波碎石作为临床首选的微创排石方式,真正做到了无创、安全、高效:不用开刀、不留疤痕,避免手术感染风险;精准定位不伤正常组织,老人、体质偏弱人群也适用;治疗时间短、随治随走,不耽误工作与生活;排石效果直观,患者能亲眼看到结石碎屑排出,安心又放心。
泌尿外科医生在此提醒,输尿管结石高发于久坐、喝水少、饮食油腻的人群,突发腰腹绞痛、血尿、排尿不畅,都是结石发出的预警信号,切勿当作普通腰疼忽视。0.5-1cm的尿路结石,是体外碎石的最佳适应症,早发现、早干预,就能用最简单的方式摆脱痛苦。
预防结石更要注重日常:每天保证2000ml以上饮水量,少喝浓茶、碳酸饮料,少吃高草酸、高嘌呤食物,避免长期久坐、憋尿,从源头降低结石发病概率。国文医院泌尿外科,专注泌尿疾病诊疗,用专业技术与贴心服务,为结石患者排忧解难,守护每一位市民的泌尿健康。
微信扫码预约

吉公网安备 22038102000293号 吉ICP备18000181号