近日,15岁高中生小张(化名)在体育课跑完1000米后,突发剧烈胸痛并伴随头晕,校医紧急处置后,立即联系家属将其送往我院就诊。经急诊科快速处置、心血管内科精准诊断,小张最终被确诊为先天性冠状动脉异常起源。这一案例提醒广大家长和青少年,运动后的胸痛绝非“累着了”那么简单,若出现相关症状需及时就医,急诊绿色通道能为青少年心脏急症提供快速保障,避免延误病情。

异常信号:运动后胸痛背后藏隐患
喜欢打篮球的小张,近几个月运动后常出现胸口闷痛,休息后可缓解,他和家长起初并未在意,误以为是运动过量、身体劳累所致。直到此次体育课,小张跑完1000米后,胸痛突然加剧,伴随头晕、乏力,无法正常站立,校医发现情况危急,立即联系家属将其送往我院,我院急诊科接诊后,快速调度、全程开通绿色通道,迅速完善心电图、抽血等基础检查。
检查结果很快出炉:小张的肌钙蛋白明显升高——这一指标在成年人中多提示心肌梗死,而无基础病史的青少年出现该情况,急诊紧急联系心血管内科专家前来研判,为后续精准诊断争取了宝贵时间。
真相大白:“走错门”的冠状动脉
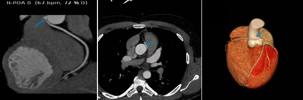
心血管内科专家结合小张的检查结果,立即为其安排冠状动脉CTA检查,谜底终于揭开:小张的右冠状动脉开口异常,本应从右冠窦开口的血管,与左冠状动脉挤在了左冠窦。正常情况下,冠状动脉像两顶小帽子覆盖心脏表面供血,而小张的右冠状动脉需绕过大弯,易被主动脉和肺动脉“夹住”。运动时心脏收缩、血管扩张,这根血管会被进一步压迫,导致心肌缺血,引发胸痛、头晕,反复缺血还会造成心肌细胞损伤,使肌钙蛋白升高。
科学解读:病症风险与应对方法
冠状动脉异常起源是一种先天性心脏结构异常,人群中每1000人就有5至15人存在这种变异,多数人终身无症状,但少数血管走行特殊者,剧烈运动时可能面临严重风险。对于有胸痛、肌钙蛋白升高等症状的患者,需评估手术干预,无症状者则建议定期随访、避免竞技性运动。
青少年运动后出现胸痛、胸闷、头晕等症状,切勿简单归为“体质差”。家长应及时带孩子到心内科检查,心脏超声可初步排查,冠状动脉CTA则是明确诊断的金标准。在确诊前,建议暂停高强度竞技运动,防范风险。小张的案例警示我们,青少年心脏健康不容忽视,及时发现、科学干预,才是守护孩子成长路上的健康防线。
微信扫码预约

吉公网安备 22038102000293号 吉ICP备18000181号