三大技术联手攻坚丨国文医院心内科团队联合北京专家打通七旬老人心脏 “生命通道”



心血管疾病诊疗中心 > 新闻   阅读:20 次

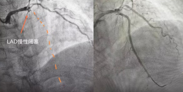
近日,国文医院心血管内科介入团队联合北京专家,灵活运用球囊锚定、主动支撑、延长导管多项核心技术,历经精准操作,成功为七旬老人打通完全堵死的心脏血管。术后老人恢复顺利,胸痛症状彻底消失,家属对救治结果与医院服务赞不绝口。

74 岁的陈阿姨(化名),数月来被反复胸痛折磨的寝食难安,稍一活动就胸口憋闷、刺痛难忍,休息后也难彻底缓解。辗转就医后,病情始终未获有效解决,最终在国文医院迎来转机:检查显示其心脏前降支近端钙化并完全闭塞,属于冠心病中难度极高的冠状动脉慢性完全闭塞病变(CTO),堪称冠脉介入治疗的 “最后堡垒”。

凶险的前降支CTO,老年女性的“致命警报”

心脏正常运转依赖冠状动脉供血,前降支作为冠脉中供血范围最广、最关键的血管,负责心脏前壁、心尖等核心区域供血,一旦堵塞,极易引发大面积心肌缺血、急性心梗甚至猝死。这位老年女性所患的CTO病变,即冠脉完全闭塞超3个月,血管壁伴随大量坚硬钙化斑块,如同心脏“生命干道”被石块堵死,管壁脆硬。

此类病变凶险难治,一是钙化严重,普通导丝难以穿透;二是老年血管弹性差、易扭曲,术中易出现穿孔、夹层;三是闭塞时间长,血管走形难判断,对专家经验和技术要求极高。

三大技术联手攻坚,北京专家精准打通闭塞血管

面对老人高危复杂的病情,北京专家联合国文医院介入团队,术前反复研讨评估,优化方案、选定器械,制定个性化手术方案,凭借精湛技术与默契配合攻克难关。



1、延长导管延伸“操作手臂”,突破血管扭曲障碍。

老人冠脉不仅闭塞,还存在自然弯曲、钙化扭曲,常规导管长度不足无法抵达闭塞入口。延长导管可在原有基础上增加柔韧延伸段,将“手术手臂”延长,顺利穿过弯曲血管,稳稳抵达闭塞入口,为后续操作搭建稳定通道,避免损伤脆弱血管。

2、主动支撑筑牢“操作根基”,助力导丝精准前行。

钙化闭塞段阻力极大,导丝需足够支撑力才能穿透。主动支撑技术优化指引导管同轴性与支撑位置,为导丝、微导管提供持续支撑,搭建稳固“手术平台”,让导丝精准沿血管真腔穿透钙化段,降低手术风险。

3、球囊锚定固定“器械平台”,攻克高阻力钙化灶。

针对前降支近端严重钙化的高阻力,医生将特制小球囊送至病变分支,轻微扩张后像“船锚”固定器械系统,防止导管、导丝移位,有效对抗阻力,让器械顺利通过闭塞段,开通血管、恢复供血。

手术由北京专家全程主导,操作精准细致,成功打通闭塞前降支,彻底解决老人心肌缺血问题。术后第二天,老人精神明显好转,可下地活动,家属对专家技术与医院服务充满感激。

从辗转求医的煎熬到重获健康的安心,这位老年患者的康复,彰显了国文医院的医疗实力,也体现了优质医疗资源下沉的民生温度。未来,医院将持续深化合作,把北京优质技术带到本地群众身边,让本地区患者足不出省就能享受优质诊疗服务,筑牢群众心血管健康防线。


关注订阅号 了解更多咨询

搜索医生
+
寻找适合您的医生,评估您的医疗需求。
预约挂号
+

微信扫码预约

您可致电24小时服务中心(96120)预约医生。
联系我们
-
24小时服务电话
96120
投诉信箱
csc@hq.gwmc.cn
胸部肿瘤放化疗Ⅰ疗区 Chest tumor Radlotherapy and Chemotherapy Ⅰ Treatment Area
胸部肿瘤放化疗Ⅱ疗区 Chest tumor Radlotherapy and Chemotherapy Ⅱ Treatment Area
乳腺疾病诊疗中心 Breast Disease Diagnosis and Treatment Center
头颈肿瘤放化疗疗区 Head and Neck Tumor Radlotherapy Chemotherapy Treatment Area
消化道肿瘤放化疗Ⅰ疗区 Gastrointestnal Tumor Radotherapy Chemotheapy Ⅰ Treatment Area
放射治疗中心 Radiotherapy Center
妇科放化疗 Interventional therapy
介入治疗科 Interventional Therapy Center
淋巴瘤/血液病科 Lymphoma / Hematological Disease
甲状腺外科/肝胆胰/腹膜后软组织外科 Hepatobiliary Pancreatic / Retroperitoneal Surgery
结直肠肛门外科 Colorectal and Anal Cancer Surgery
耳鼻喉头颈外科 Otolaryngology Head and Neck Radiotherapy Surgery
泌尿外科 Urology Surgery
胃肠外科 Gastrointestinal Surgery
神经外科 Department of Neurosurgery
胸外科/肺结节诊疗中心 Thoracic Surgery
产科 Obstetrics Department
骨科 Orthopaedics
妇科 Gynaecology
儿科 Pediatrics
呼吸内科 Respiratory Medicine
消化内科/中医科 Gastroenterology/Traditional Chinese Medicine
脑血管病中心 Cerebrovascular Disease Center
内分泌风湿免疫内科 Department of Endocrine Rheumatology and Immunology
肾病中毒内科 Internal Medicine Department of Nephrosis
心血管疾病诊疗中心 Cardiovascular Medicine Center
96120急救中心 First Aid Centre 96120
健康体检中心 Health Examination Center
医学影像中心 Medical Imaging Center
临床检验中心 Clinical Testing Center
核医学科 Nuclear Medicine Department
内镜中心 Endoscopy center
电诊科 Electrodiagnosis Department
ICU ICU
病理科 Pathology Department
皮肤科 Dermatology
手术中心 Operation Center
康复中心 Rehabilitation Center
月子会所 Maternity hotels
中医科 Traditional Chinese Medicine department



Copyright © 2017 by CopyGuowen medical .co. All rights reserved     吉公网安备 22038102000293号  吉ICP备18000181号