生活中,胸痛、胸闷是常见不适症状,许多人第一反应便是心脏出了问题,盲目排查心脏疾病,却忽略了肺部疾病也可能发出同样的“警报”,极易延误最佳治疗时机。近日,国文医院呼吸内科接诊的一位患者,就因误将肺脓肿当作心脏病处理,险些酿成严重后果。这一案例也提醒广大市民,胸痛≠心脏病,精准识别、科学诊疗,才是守护健康的关键。

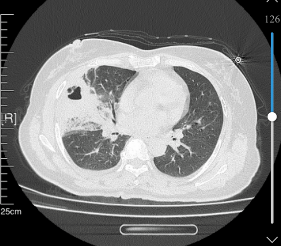
张姨(化名)近期反复出现胸痛不适,伴随轻微咳嗽、乏力,自认为年纪大了心脏易出问题,便在家自行含服救心丸,可症状不仅没有缓解,反而逐渐加重,还出现发热、呼吸不畅等情况。家人急忙将其送至我院,医生详细问诊后,并未盲目排查心脏问题,而是及时安排胸部CT检查,最终明确诊断为右肺中叶脓肿伴严重感染,揪出了“伪装”成心脏病的真凶。
据了解,肺脓肿是肺部组织因细菌感染形成的化脓性病变,若不及时清除脓液、控制感染,可能引发脓胸、败血症等严重并发症,危及生命。由于张姨的脓肿位置较深,单纯药物治疗难以直达病灶,我院呼吸内科团队迅速评估病情,制定了微创支气管肺泡灌洗个性化治疗方案,无需开刀,仅通过支气管镜经鼻腔、咽喉进入气道,精准到达病灶,彻底冲洗、抽吸脓液及炎性分泌物,再辅以针对性抗感染治疗。
整个操作微创无痛、耗时短、创伤小,术后张姨无明显不适感,当天胸痛、胸闷症状便明显减轻,体温也逐渐恢复正常。经过后续巩固治疗,复查CT显示肺脓肿基本吸收、炎症完全消退,张姨顺利康复出院。
这一案例为广大市民敲响警钟:胸痛并非心脏病专属,肺部感染、肺脓肿、胸膜炎等呼吸道疾病均可能引发类似症状,切勿盲目自行判断、滥用药物,持续咳嗽、发热、胸痛且常规用药无效时,需及时做胸部影像学检查,排查肺部病变。国文医院呼吸内科始终深耕呼吸系统疾病诊治,配备先进诊疗设备和专业团队,擅长肺脓肿等疾病的微创介入治疗,用精准技术为百姓呼吸健康保驾护航。
微信扫码预约

吉公网安备 22038102000293号 吉ICP备18000181号