- 6次碎石无效!国文泌尿外科精准微创,破解嵌顿结石+息肉难题
- 泌尿外科 > 新闻 阅读:279 次
腰腹部剧烈绞痛,反复碎石却纹丝不动,结石不仅“卡住不走”,还刺激输尿管长出息肉、肉芽肿……近日,国文医院泌尿外科成功完成一例高难度右侧输尿管上段嵌顿性结石伴输尿管息肉、炎性肉芽肿手术,在患者拒绝常规手术方案、操作空间极差的情况下,凭借精准、精细化微创手术,顺利为患者清除结石,解除病痛。
01腰腹痛2个月,6次碎石均无效
患者男性,因右侧腰腹部持续性疼痛2个月就诊。2个月前,患者突发右侧腰腹部剧烈绞痛,在外院确诊为右侧输尿管上段结石(1.2cm×1.0cm),先后接受6次体外冲击波碎石,但结石始终未能排出,疼痛持续不缓解。为求进一步系统治疗,患者来到国文医院泌尿外科。
02病情复杂:嵌顿性结石+输尿管狭窄+息肉+肾积水
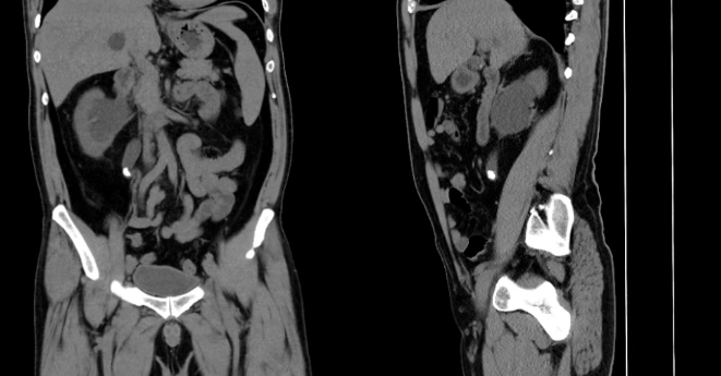
入院完善全腹CT检查提示:右侧输尿管上段结石位置无变化、右肾积水较前明显加重,影像学提示:输尿管走行迂曲、管腔狭窄,结石已长期嵌顿、包裹与管壁粘连紧密,属于复杂性输尿管结石,常规碎石难度大、风险高,极易出现结石漂移、输尿管损伤。

对于输尿管上段结石,临床常规首选输尿管软镜碎石,并需提前置入输尿管支架扩张管腔,但患者及家属,拒绝软镜及支架置入,强烈要求行输尿管硬镜碎石术。国文医院泌尿外科团队充分术前评估、详细沟通、完善应急预案,在尊重患者意愿的前提下,制定安全、个体化的手术方案。
03息肉包裹,操作寸步难行
术中探查发现:右侧输尿管上段狭窄、迂曲,管壁可见息肉及炎性肉芽肿,结石嵌顿于增生组织之间,粘连紧密、固定。加之输尿管硬镜不可弯曲、受呼吸影响,手术视野与操作空间极差,碎石难度极高。
张宝主任带领团队沉着应对,精细调整镜体角度,控制冲洗压力,采用低能量、低频率、慢冲洗策略,逐步挖空结石,避免结石漂移及输尿管损伤。最终顺利完成碎石,输尿管全程通畅,无穿孔、无出血、无并发症。
术后患者生命体征平稳,无发热、血尿、感染、输尿管损伤等并发症,右侧腰腹部疼痛完全缓解,饮食、活动恢复顺利,住院期间病情平稳。患者及家属对国文医院的诊疗过程、术后恢复及医护服务高度满意。
04病例总结与健康提示
本案例为多次碎石失败、合并息肉、肉芽肿、狭窄的复杂性输尿管上段嵌顿性结石,手术难度大、风险高。国文医院泌尿外科通过:充分术前评估、个体化治疗方案、精细化微创手术操作,安全、有效地清除结石,为同类复杂病例提供了宝贵临床经验。
【健康提醒】
腰腹绞痛、血尿、肾积水,可能是输尿管结石在“报警”。反复碎石无效、结石嵌顿、合并息肉/肉芽肿者,属于高危复杂情况,一定要到专业泌尿外科尽早规范治疗,避免小结石拖成大问题。
医院官网:hq.gwmc.cn
企业邮箱:info@hq.gwmc.cn
医院地址:吉林省公主岭市国文大街2388号
吉ICP备18000181号
Copyright © 2017 by CopyGuowen medical .co. All rights reserved